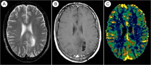
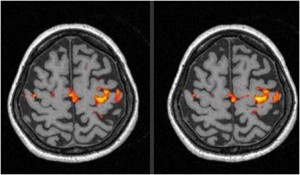
Il team di ricercatori della QMRI Tech è esperto di studi di neuroimaging mediante tecniche RM di Perfusione con mezzo di contrasto (DSC e DCE MRI), Diffusione (DWI e DTI), IVIM, Spettroscopia, fMRI Bold, Rilassometria, Texture Analysis.



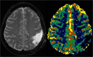
Il team di ricercatori della QMRI Tech è esperto di studi di neuroimaging mediante tecniche RM di Perfusione con mezzo di contrasto (DSC e DCE MRI), Diffusione (DWI e DTI), IVIM, Spettroscopia, fMRI Bold, Rilassometria, Texture Analysis.


